Bursa'da 22 Haziran'da Osmangazi ilçesi Küplüpınar Mahallesi’ndeki evde Alzheimer hastası annesi A.S. ve sevgilisi F.O. ile oturan İlyas Sarıkaya, mahalleden arkadaşı Recep Özaslan'ı evine çağırdı.
İddiaya göre; madde etkisi altında olan Sarıkaya, sevgilisi ile ilişkisi olduğunu düşündüğü Özaslan'ı tabanca ile vurdu.
Arkadaşını öldürdü, yaralı sevgilisine günlerce tecavüz etti
Özaslan, ardından ağır yaralanan arkadaşına, 'Acı çekmesin' diyerek 2 kez daha ateş etti. Özaslan, beline ve göğsüne isabet eden kurşunlarla hayatını kaybetti, İlyas Sarıkaya, sevgilisi F.O.'ya da aynı silahla ateş açtı.
Sarıkaya, ardından vücuduna 7 kurşun isabet eden kadına, cinsel saldırıda bulundu. Özaslan'ın cesedini önce çarşafa sonra streç filme sarıp, bantlayan Sarıkaya, eczaneden aldığı sargı bezi ve ilaçlar ile pansumanını yaptığı sevgilisine ise yaralı haldeyken 21 gün boyunca cinsel saldırıda bulunmaya devam etti.
Attığı mesaj hayatını kurtardı
Özaslan'ın cesedinin çürümesi sonucu çıkan koku komşuları rahatsız edince, ihbarla olay yerine polis ekipleri sevk edildi.
Sarıkaya, eve gelen polisleri silah zoruyla tehdit ettiği sevgilisini pencereye çıkartıp, sorun olmadığını söyleterek geri gönderdi. Olay, F.O.'nun 12 Temmuz'da, Sarıkaya'nın sehpa üzerinde unuttuğu telefondan annesine mesaj yazıp, yardım istemesiyle ortaya çıktı.
F.O., annesine yazdığı mesajda, "Odada ceset var. Telefon dinleniyor. Diafon açık, mesaj yazma. Bana 8 el ateş etti. Yaralıyım. Polisi görürse önce beni öldürecek. Onu para ile kandırıp, evden çıkartın sonra da beni alın." dedi. F.O.'nun annesi mesaj sonrası polise gidip, şikayette bulundu. Polis, yaralı haldeki F.O. ile mesajla irtibata geçti.

Talihsiz kadının annesinin evinin önünde yakalandı
Sarıkaya'yı, F.O.'nun annesinin evinden para alması için eve yönlendirdi. F.O.'nun annesinin evinin önüne otomobilini park ettiği sırada karşısında gördüğü polis ekiplerine silahını doğrultup, tehdit eden Sarıkaya, etkisiz hale getirilip gözaltına alındı.
Eve giden ekipler ağır yaralı haldeki F.O. ile kokmaya başlayan ceset ile karşılaştı. F.O. tedavi edilmek üzere ambulansla hastaneye, Özaslan'ın cesedi ise otopsi için Adli Tıp Kurumu morguna kaldırıldı.

"Benimle bayağı kedinin fareyle oynadığı gibi oynadı"
Yaşananların ardından sevgilisi İlyas Sarıkaya’nın (49) silahlı saldırısında ağır yaralanan ve yaralı haldeyken 21 gün boyunca cinsel saldırıya uğrayan F.O. (43), yaşadığı kabus dolu günleri anlattı:
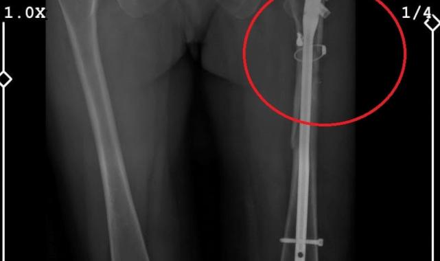
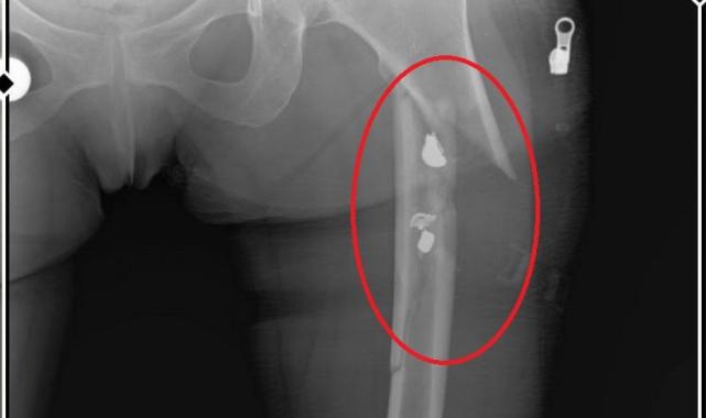
“Bildiğiniz cehennemi yaşadım. Nedenini bilmiyorum ama önce arkadaşını vurdu. 3 tane mermiyle öldü zaten arkadaşı. 2 tane daha ‘Garanti olsun’ dedi, üstüne sıktı. Onu daha hızlı vurdu, benimle bayağı kedinin fareyle oynadığı gibi oynadı. Bir st sürdü beni vurması, 8 mermi sıktı. 1’i çıktı vücudumdan, 1’ini hastanede aldılar. 6 tane mermi hala vücudumda onunla yaşıyorum. Yaşamaya çalışıyorum yaşamaksa. Gece uyudu zaten, sabah kalktığında yani hiçbir madde falan da kullanmamıştı. Çok ağır uyuşturucular kullanıyordu ama madde de kullanmamıştı. Gayet kafası açıktı, ayıktı. Uykudan kalktı. Direkt zaten kapıları yokladı, kontrol etti. Sonra arkadaşına, hiçbir nedensiz, ‘Siz terane mi çeviriyorsunuz, benim arkamda terane mi var? Çabuk bana zulayı çıkar’ deyip onu vurdu. Sonra bana geldi sıra. Kuzu kuzu bekledim sıramı. En son söylediğim şey, Rabbim duyan sensin, bilen sensin, beni evladıma kavuştur dedim, ilk mermiyi yediğimde. Bana da ‘Bu evde 7 tane gizli kamera var biliyorum. Kameraları çıkar, seni vurmayacağım. Açacağım kapıyı gideceksin. Çıkaramazsan yiyeceksin mermiyi’ dedi. Tabii öyle bir şey olmadığı için çıkarma şansım yok. ‘Yok öyle bir şeyi nereden bulayım ben kamerayı’ deyince, başladı ateş etmeye.”

"8 taneden sonra ben ölü taklidi yaptım"
İlyas Sarıkaya’nın en son silahı kafasına dayadığını, tetiğe bastığında ise silahın tutukluk yaptığını söyleyen F.O., “8 taneden sonra ben ölü taklidi yaptım. Çünkü 5 tane arkadaşına, 8 tane bana sıktı, 13. 14’üncüyü tam bu kafamın üstünden sıktı. Ama silah tutuklu yaptı. Hani o son mermiyi bana sıkmasın diye haziran ayında hava geç kararıyor yani sabah 10.30-11.00 civarıydı ateş etmeye başladığında, hava kararana kadar ölü taklidi yaptım. Polis gelecek diye ölü taklidi yaptım, o canımın acısıyla kan kaybederken. Sonra anladı nefes aldığımı. Sonra, ‘Ölmedin mi sen’ deyince artık mecburen gözlerimi açmak zorunda kaldım, ölmedim diye. Korktu. Ben dedi, ‘Vallahi 8 mermiyle can almadım, canını alamam’ dedi. Korktu. Ben bayağı rahatladım o zaman. İşte o son mermiyi tekrar sıkmayacak diye. Sonrasında kabus başladı.” dedi.

"21 gün, işkence etti, tecavüz etti"
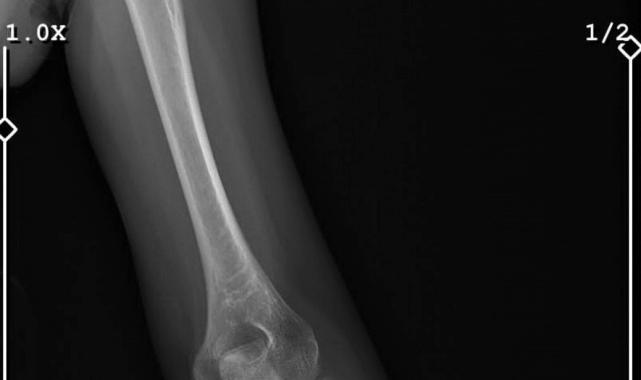
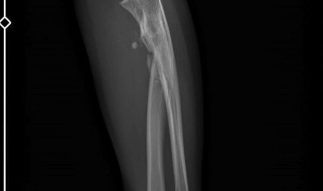
Sarıkaya uyuşturucu madde etkisinde uyurken, annesine mesaj attığını belirten F.O., “21 gün işkence etti, etti. Elinden kurtulabilmek için her türlü şeyi denedim. Ama işte 21 gün sonra uyuşturucudan sızınca anneme mesaj atabildim, telefonunu çalıp. Ayağa kalkmam mümkün değildi. Bacağımda iki kırık varmış, sonradan öğrendim. Kolum da kırık. Kalkıp bir yere gidebilme şansım yoktu. Oturduğum yerden bastonla çektim sehpayı. Sehpanın üstünden telefonunu aldım. Anneme mesaj attım 21 gün sonra. Bu arada ben gençlik dönemlerimde ilaç firmalarında mümessillik yaptığım için, annesi vardı evde Alzheimer hastası. Eczaneye ve bakkala kadar gidebiliyordu. Annesine eline yazdım gereken ilaçları, kendi kendimi tedavi ettim orada. Kanamamı durdurdum pansumanlarımı yaptım. Yani bir şekilde yaşamaya çalıştım. Hala nasıl yaşadığımı ben de bilmiyorum.” diye konuştu.

Cesedin çürüyüşünü izledim: Polisler gelecek diye kirece bastı sonra streç filme sardı
Recep Özaslan’ın cesedi ile aynı yerde yaşadığını ve İlyas Sarıkaya’nın cesedi fırın kutusuna koyduğunu anlatan, F.O., her şeyin aniden geliştiğini ve Sarıkaya’nın arkadaşını neden öldürdüğünü bilmediğini söyleyerek şöyle konuştu:
“Cesedinin yanında çürümesini izledim. Cesedin önce gözleri aktı. Sonra üstüne bir örtü örttü. Bacaklarını görebiliyordum. Şişti, morardı, deri döküldü, kurtlandı. O kurtlar bana gelmesin diye, Alzheimer hastası anne kurtları süpürüyordu o tarafa doğru. Sonra polislere şikayet olmuş koku var diye mahallede. Polisler gelecek diye cesedi kendi kirece bastı, her yerini. Sonra onları streç filme sardı. Bu ankastre fırınların köpükleri, onun kutularının, köpük kutunun içine koydu öbür odayı götürdü. Hepsini izledim orada. O koku hala çıkmıyor burnumdan. Bir anda oldu, hiç gerçekten ben de anlayamadım ne olduğunu. Bir anda kalktığı gibi odadan çıktı, tabanca elinde. Bir anda rehin aldı. Yani hiçbir şey yoktu. Hiçbir şey yoktu. Ben de anlayamadım. Ya ne olduğunu ben de çözemedim. Ne geldi aklına, neden öyle yaptı. Biz gittik bir şey yoktu akşam. O uyudu, ben oturdum odada. Arkadaşı da bir haftadır onda kalıyordu. Arkadaşı eşinden ayrılmış. Bildiğim kadarıyla eşi gitmiş memleketine. Bir haftadır adam sokaktaymış. Bir gece önce de yağmur yağıyor. İşte yağmurda ıslanmış. Arkadaşına da diyor ki, bunu ben kendim duydum, ‘Al şu 5 bin lirayı, uyuşturucu al. Beraber takılırız. Evde nasıl olsa kimse yok, sokakta kalma’ diye. Adamı resmen ölümüne çağırdı. O da koşa koşa gitti, aldı geldi. 1 haftadır adam evdeydi zaten. Yani gayet her şey normaldi. Gece de ben onun yanında kaldım. Sabah kaldırdım, uyku sersemi İlyas kalktı. Ben salona çıktım, arkadan o çıktı salona. Bilmiyorum artık ne geldi aklına, ne geçti aklından, bir şey mi düşündü, ateş etmeye başladı. Önce Recep'i vurdu. Yani direkt çıktığı gibi zaten ben cam tarafına köşeye sıkıştım. Kapıya yaklaşamıyordum. Hiçbir tarafa gitme şansım yok. Köşedeydim. O kapının önündeydi. Daire kapısının önündeydi. Direkt ona dediği şey, ‘Çabuk söyle ne terane çeviriyorsun arkamdan açıkla. Zula nerede? Zulamı çıkar’ dedi ateş etmeye başladı. Onu zaten 3-4 dakika sürmedi öldürmesi. Sonra benimle çok uğraştı. 1 ste yakın benimle uğraştı, ateş etti. Geldi gitti ateş etti, geldi gitti. 1 st civarı benimle oynadı resmen oynadı.”

"Sen mucizesin, Allah’ın mucizesisin, Allah'ın öldürmediğini ben öldüremem dedi"
Sarıkaya’nın Özaslan’ı öldürüp kendisini yaraladığında, uyuşturucu madde etkisinde olmadığına dikkat çeken F.O., “Uyuşturucu madde etkisinde değildi, çünkü bütün gece boyunca uyumuştu, sabah uyandığında, kalktığında bunu yaptı. Gayet ayıktı. Sürekli gövdemi nişan aldı. İlk mermiyi sıktığında ben gözlerimle nişan aldığını gördüm. Bacağımı çektim kendimi gövdeme doğru, ilk mermiyi bacağıma yedim. Sonra kolumla korumaya çalıştım kendimi, sol kolumla. İkinciyi koluma yedim artık sol tarafım düşünce kalan mermilerin hepsi sırayla gövdemde. Kalbimin 1 santim altında, biri omurgamda. 1 santimle, 1 milimle mucize gibi yaşıyorum şu anda. Çok korkunç bir acı. Acı sadece acı. Hiçbir şeye benzemeyen bir acı bu. Yani hiçbir ağrıya benzemiyor mermi acısı. Gündüz 11 civarı başladı ateş etmeye. Hava kararmıştı, benim ölü taklidi yaptığımı anladığında, ‘Sen mucizesin. Allah’ın mucizesisin. Allah'ın öldürmediğini ben öldüremem. Mermi sıkamam’ dedi, silahı elinden bıraktı. Bir oh çektim ama tabii sonrasındaki 21 gün boyunca çektim işkencenin başlangıcıymış o sadece. Cesetle aynı evin içinde, 3 metre aramızda. Cesetle aynı evin içinde cinsel saldırıya uğrayarak, 21 gün daha yaşadım. 8 mermiden sonra, ‘Sen nasıl yaşıyorsun, biyonik misin, kablolar mı var içinde" dedi.

"Vücudumda 6 mermiyle yaşıyorum"
Vücudundaki 6 mermiyle yaşamaya devam ettiğimi söyleyen F.O., “6 tane mermiyle hala yaşıyorum, vücudumda. Ben de inanamıyorum nasıl yaşadığıma. Nasıl bir mucize olduğuma. Bildiğin bir mucize bu yani. Allah'ın mucizesi. 21 gün boyunca bildiğiniz bir psikolojik savaş verdim orada onunla. Hem bedenen savaş verdim. Cinsel istismara uğruyordum. Hem psikolojik işkence gördüm. Kızım için yaşadım. Bir şekilde yaşadım.” ifadelerini kullandı.

Haber Kaynağı: Demirören Haber Ajansı ()
Yorumlar
Kalan Karakter: