Kayseri İl Emniyet Müdürlüğü Narkotik Suçlarla Mücadele Şube Müdürlüğü ekipleri uyuşturucu madde ticareti yapan şahıslara yönelik çalışma başlattı.
M.R.B.'nin (23) kente uyuşturucu madde getireceğini tespit eden ekipler operasyon düzenledi.
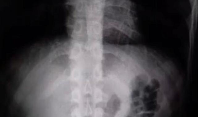
UYUŞTURUCULAR MİDESİNDEN ÇIKTI
Gözaltına alınan şüphelinin hastanedeki iç beden muayenesinde 77 adet kapsül şeklinde 1 kilo 134 gram narkotik madde ele geçirildi.
Şüphelinin midesindeki maddeler cerrahi müdahale ile çıkarılırken hakkında uyuşturucu madde ticareti yapmak suçundan adli işlem başlatıldı.

Haber Kaynağı: ()
Yorumlar
Kalan Karakter: